Skip to main content
Home
About
About Us
Meet Dr. Rozenberg
Meet Our Team
Services
Cosmetic Dentistry
Cosmetic Dentistry Overview
Dental Veneers
No-Prep Veneers
Invisalign
®
Teeth Whitening (At home and In Office)
Dental Bonding
Smile Rehabilitation
Smile Makeover
Restorative Dentistry
Restorative Dentistry Overview
Implant Restoration
Implant-Supported Dentures
Dental Crowns
Dental Fillings
Dental Sealants
Dental Bridges
Dentures
Comprehensive Dentistry
Comprehensive Dentistry Overview
Preventive Dentistry
Emergency Dentistry
Sedation Dentistry
TMJ/TMD Treatment
XEOMIN
®
Tooth Extractions
Smile Gallery
For Patients
Patient Resources
Blog
Reviews
Contact
Virtual Consultation
3434 Villa Lane,
Suite 120
Napa, CA 94558
707.257.7771
Cosmetic Dentistry Photos
Home
/
Gallery
/
Cosmetic Dentistry
/
Patient 17
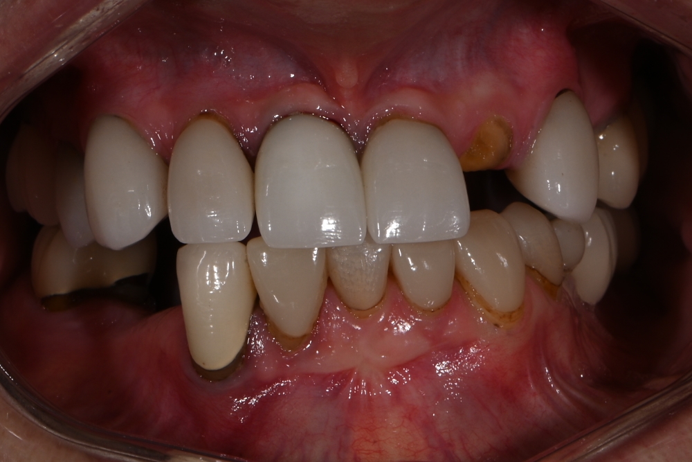
Patient 17
Patient Details
Ortho and 4 veneers on uppers and bleach
Back to Gallery
Previous Patient
Next Patient
Discover Your Smiles Potential
Schedule a New Patient Exam Today
Book Now